
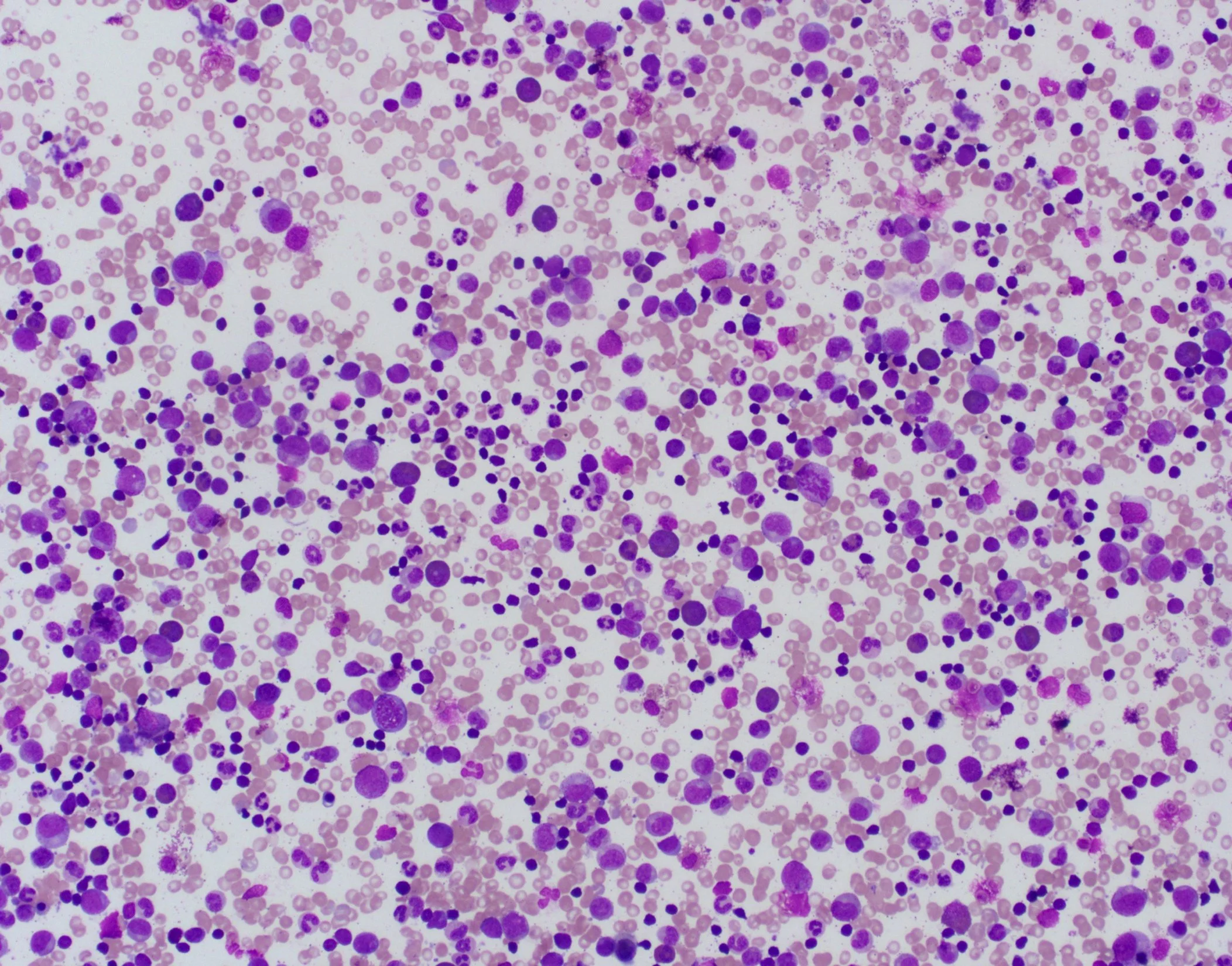
Bone Marrow Failure, Myelodysplastic Syndrome and Cancer Genetics
The Shimamura lab studies bone marrow failure, myelodysplastic syndromes, and genetic cancer predisposition. Our lab focuses on:
Identifying genetic causes of bone marrow failure and MDS in children and young adults
Elucidating the mechanisms of clonal evolution in bone marrow failure and MDS
Developing more effective treatments for bone marrow failure and MDS
About the lab
Mission
The goal of the Shimamura lab is to improve the diagnosis and treatment of children and adults with bone marrow failure and genetic predisposition to myelodysplastic syndrome (MDS). In addition to work within the lab, our research team collaborates with experts in other programs to integrate cutting edge methods and technologies to find answers. Our research spans basic science, translational research, and clinical studies for these rare but devastating conditions. The Shimamura lab environment promotes close interactions and dialogue between basic scientific and clinical researchers to provide a uniquely integrated educational environment for those interested in medical translational research.
Culture
Science and medicine benefit from diversity. The Shimamura lab aims to foster a supportive and welcoming environment for talented researchers and trainees from diverse backgrounds, lifestyles, and experiences. We strive to create the best environment for lab members to work towards their professional and personal goals as individuals. Dr. Shimamura is committed to meeting regularly with each individual lab member in addition to the group lab meetings. We celebrate the accomplishments of our lab alumni.
Stories from the Shimamura Lab